| ホーム>白内障手術の説明 | |
白内障手術について |
|
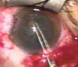
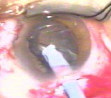
八丁堀眼科医院では、移転に伴い白内障手術を日帰りで、できるようになりました。手術方法を説明します。昔は12mm切ってました。今はひろい場合で6mm(写真@で5mm)しか切りません(折りたたみレンズの場合は3mmです)。前嚢という膜を丸く取り(写真A)、濁りの中心を取り除き(写真B,C)、後嚢という膜の上に人工レンズを置いて(写真D,E)、終りです。時間は、20〜30分程です。しかし、濁りが強かったり、膜を支える組織が弱い人は難しくなります。ある程度進行したら早目にされた方が、安全で早く手術はすみます。 |
|
写真@ ![]() 強角膜切開 |
写真A![]() 前嚢切開 |
写真B ![]() 核分割・乳化吸引 |
写真C![]() 皮質吸引 |
写真D ![]() 人工レンズ挿入 |
写真E![]() レンズ挿入直後 |
八丁堀眼科医院では、顕微鏡はLica・白内障手術器械はNidexのCV-6000という実績のある器械を使っています。私自身、白内障手術は沢山(800眼以上)行ってきました。しかし、移転後八丁堀眼科医院で初めて行った時は、さすがに緊張しました。白内障手術を無事終えた時に器械の良さを認識すると伴に、支えてくれたスタッフを始め沢山の方々に、感謝の気持ちでいっぱいになりました。これからも初心を忘れず頑張っていこうと思います(平成19年4月3日加筆)。
|
|
| ホーム | |